Cannabis und Essstörungen
Jeder von uns kennt das – der Tag war stressig, man hat sich mit dem Partner gestritten, oder auf der ...
Jeder von uns kennt das – der Tag war stressig, man hat sich mit dem Partner gestritten, oder auf der ...
Den Ausdruck „Tourette-Syndrom“ verbindet man meist mit dem zwanghaften Ausstoßen unflätiger oder beleidigender Ausdrücke in gänzlich unpassenden Situationen. Was in ...
Der Clusterkopfschmerz wird auch Suizid-Kopfschmerz genannt. Um den drastischen Namen dieser Schmerzerkrankung zu verstehen, sollte man sich nicht nur die ...
Laut Statistik leiden in Deutschland ungefähr 5 Millionen Menschen an Arthrose und 1,5 Millionen an entzündlich-rheumatischen Erkrankungen. Während Arthrose auf ...
ADHS ist vielen ein geläufiger Begriff - der Zappelphilipp in der Schule allgemein bekannt. Nur wenige Menschen wissen, dass ADHS ...
Der Körper jedes Menschen produziert Endocannabinoide. Diese regulieren das Immunsystem und spielen bei Lern- und Bewegungsprozessen eine Rolle. Auch wirken ...
Ein Erwachsener verschläft ungefähr ein Drittel seines Lebens. Allerdings stellt der Schlaf keine vergeudete Lebenszeit dar, denn ein gesunder, erholsamer ...
Obwohl Anorexia nervosa, mit zwei Prozent, nicht die am weitesten verbreitete Essstörung ist, ist sie dennoch sehr bekannt. Das liegt ...
Für die Entwicklung und die Erhaltung gesunder Knochen spielt das menschliche Endocannabinoid-System eine wesentliche Rolle, denn es interagiert mit den ...
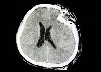
Schädel-Hirn-Traumata (SHT) werden in aller Regel durch Unfälle verursacht, besonders oft kommen sie bei uns durch Verkehrsunfälle zustande. Beinahe die ...
Cannabis war im 19. Jahrhundert in Nordamerika und Europa ein bekanntes Medikament zur Behandlung der Migräne. Kürzlich hat ein Wissenschaftler ...
Schon im Reggae Hit „legalize it“, der auf dem gleichnamigen Album von 1976 veröffentlicht wurde, singt Peter Tosh, dass Cannabis ...
Neben Erbkrankheiten und Virusinfektionen sind die meisten Erkrankungen der Leber auf schädlichen Umgang mit dem eigenen Körper zurückzuführen. Alkohol und ...
Drepanozytose ist der medizinische Begriff für die Sichelzellenanämie (SCD) oder auch Sichelzellenkrankheit. Ihren Namen hat die Erbkrankheit nicht umsonst, denn ...
Die Bezeichnung Akne hat ihren Ursprung im Griechischen und wird wörtlich mit „Schärfe“ bzw. „Spitze“ ins Deutsche übersetzt. Vor allem ...
Die Sinusitis ist den meisten besser bekannt als Nasennebenhöhlenentzündung. Dieser Begriff ist jedoch vielleicht etwas missverständlich, so kann die Sinusitis ...
Das Wort Rheuma oder Rheumatismus ist geläufig und beinahe jeder kann sich etwas darunter vorstellen. Schmerzen in Wirbelsäule oder den ...
Die sogenannte Scheuermann-Krankheit, oder auch Adoleszentenkyphose, bezeichnet eine Störung im Wachstum der Wirbelsäule eines jugendlichen Menschen. Sie tritt bei Jungen ...
Fast alle Menschen haben Herpes. Auch wenn der Virus nicht ausbricht, trägt ihn die Mehrheit der Menschen in sich. Es ...
Trotz hoher durchschnittlicher Lebenserwartung wird der Tod jeden holen, einige leider noch immer viel zu früh. Laut der WHO sind ...
Alle Artikel zum Thema Hanfmedizin bei Erkrankungen
Wir nutzen Cookies auf hanf-magazin.com. Einige von ihnen sind essenziell notwendig, andere helfen unsere Website und deine Nutzer-Erfahrungen zu verbessern. Wenn Sie unter 16 Jahre alt sind und Ihre Zustimmung zu freiwilligen Diensten geben möchten, müssen Sie Ihre Erziehungsberechtigten um Erlaubnis bitten. Wir verwenden Cookies und andere Technologien auf unserer Website. Einige von ihnen sind essenziell, während andere uns helfen, diese Website und Ihre Erfahrung zu verbessern. Personenbezogene Daten können verarbeitet werden (z. B. IP-Adressen), z. B. für personalisierte Anzeigen und Inhalte oder Anzeigen- und Inhaltsmessung. Weitere Informationen über die Verwendung Ihrer Daten finden Sie in unserer Datenschutzerklärung. Sie können Ihre Auswahl jederzeit unter Einstellungen widerrufen oder anpassen.
Wenn Sie unter 16 Jahre alt sind und Ihre Zustimmung zu freiwilligen Diensten geben möchten, müssen Sie Ihre Erziehungsberechtigten um Erlaubnis bitten. Wir verwenden Cookies und andere Technologien auf unserer Website. Einige von ihnen sind essenziell, während andere uns helfen, diese Website und Ihre Erfahrung zu verbessern. Personenbezogene Daten können verarbeitet werden (z. B. IP-Adressen), z. B. für personalisierte Anzeigen und Inhalte oder Anzeigen- und Inhaltsmessung. Weitere Informationen über die Verwendung Ihrer Daten finden Sie in unserer Datenschutzerklärung. Hier finden Sie eine Übersicht über alle verwendeten Cookies. Sie können Ihre Einwilligung zu ganzen Kategorien geben oder sich weitere Informationen anzeigen lassen und so nur bestimmte Cookies auswählen.

Medizinisches Cannabis in Deutschland: Der komplette Patientenguide 2026
10.04.2026 — Leo Hartmann
Die Pharmakodynamik der Hanfpflanze: Vom Inhalieren bis zum Endocannabinoid-System
09.04.2026 — Christian Schäfer
Die neue Ära der Telemedizin: Das „New DoktorABC“ Experience ist da!
24.03.2026 — Christian Schäfer
BCPS®: Struktur für Cannabis in der Telemedizin
05.03.2026 — Christian Schäfer
Hanf-Rezept online: Der moderne Weg zur Therapie
05.02.2026 — Christian Schäfer
Die 20 wichtigsten Cannabis-Terpene und ihre Wirkung
16.04.2026 — Leo Hartmann
Entourage-Effekt erklärt: Warum Terpene wichtiger sind als THC
15.04.2026 — Christian Schäfer
Ajulemsäure: Nicht-psychoaktives Cannabinoid mit medizinischem Potenzial
11.08.2025 — David Glaser
VIP36 - ein neues Cannabinoid in der Schmerzmedizin
30.04.2025 — David Glaser
Neuartige CBG-Derivate und deren medizinisches Potenzial
25.04.2025 — David Glaser
Tierisch gut - wie Cannabis deinem Liebling helfen kann
08.05.2025 — Christian Schäfer
Veterinärmedizin: Brasilien erlaubt Cannabis-Rezepte für Tiere
01.12.2024 — Conrad Staufer
Hund auf THC: Frauchen beschuldigt Tiergeschäft
07.07.2024 — Conrad Staufer
Der Einsatz von Cannabis in der Veterinärmedizin
16.06.2024 — Matthias mze Meyer
Cannabis & Tiere: Verwenden Orang-Utans Hanfsalbe?
28.05.2024 — Conrad Staufer
Fibromyalgiker - die Chamäleons der Gesellschaft
29.05.2024 — Valentina C.
Behlül und Cannabis: Eine Reise durch Medizin und Misshandlung (Teil 1)
14.04.2024 — Dieter Klaus Glasmann
Erfolgreiche Cannabistherapie - Diabetes-Patientin kann endlich wieder durchschlafen
28.06.2022 — Dieter Klaus Glasmann
Patientengeschichten - Maria außen behandelt, innen geheilt
22.02.2021 — Sarah Ann Rosa
Patientengeschichten - Ein Rosengarten ist nicht genug
12.02.2021 — Sarah Ann Rosa
Die Pharmakodynamik der Hanfpflanze: Vom Inhalieren bis zum Endocannabinoid-System
09.04.2026 — Christian Schäfer
Der Atem-Code: Wie das Endocannabinoid-System die Asthma-Therapie revolutionieren könnte
01.04.2026 — David Glaser
GKV soll Cannabis-Blüten nicht mehr erstatten: Was das für Patienten bedeutet
17.04.2026 — Christian Schäfer
Die Hanf-Küche: Der komplette Guide für kreatives Kochen
15.04.2026 — Mara König
Cannabis-Szene & Hanfkultur 2026: Zwischen Rekord-Messen und lebendigem Anbau
11.04.2026 — Leo Hartmann
GKV soll Cannabis-Blüten nicht mehr erstatten: Was das für Patienten bedeutet
17.04.2026 — Christian Schäfer
Schluss mit Blüten auf Kassenrezept? Finanzkommission fordert Ende der GKV-Erstattung
15.04.2026 — Mara König
BGH: Medizinalcannabis bleibt Arzneimittel – Werbeverbot gilt unverändert
14.04.2026 — Mara König
ICBC Berlin 2026: Europas größte Cannabis-Messe kommt zurück
09.04.2026 — Mara König
Ein wegweisendes Urteil: OLG Dresden entscheidet zugunsten von Grünhorn
01.04.2026 — Leo Hartmann
Bilanz der Legalisierung: Ein ehrlicher Blick auf das Cannabisgesetz
31.03.2026 — Leo Hartmann
Rekordjagd am Cannabismarkt: Deutschland knackt die 200-Tonnen-Marke!
23.03.2026 — Christian Schäfer
Säule 2 der Legalisierung: Wann kommen die regionalen Modellprojekte?
18.03.2026 — Christian Schäfer
100-Tonnen-Beben: Nordmazedonien jagt das Cannabis-Kartell
16.02.2026 — Christian Schäfer
Tschechien prescht vor: Fachhandelsmarkt rückt in greifbare Nähe
11.02.2026 — Leo Hartmann
Wenn Aktivkohle auf Tip-Gefühl trifft
03.02.2026 — Christian Schäfer
„Warum wir wieder Boxen machen“ – der Hanf Magazin Shop
15.01.2026 — Leo Hartmann
AirVape Legacy Pro 2 – Der Klassiker neu definiert
29.10.2025 — Dieter Klaus Glasmann
Der Begleiter für dein Wohlbefinden - Hanfosan CBD-Öl 10 %
09.07.2025 — Dieter Klaus Glasmann
Kontrolle über Körper und Geist - Renact REST und RELIEF
06.06.2025 — Dieter Klaus Glasmann
Die Pharmakodynamik der Hanfpflanze: Vom Inhalieren bis zum Endocannabinoid-System
09.04.2026 — Christian Schäfer
Der Atem-Code: Wie das Endocannabinoid-System die Asthma-Therapie revolutionieren könnte
01.04.2026 — David Glaser
GKV soll Cannabis-Blüten nicht mehr erstatten: Was das für Patienten bedeutet
17.04.2026 — Christian Schäfer
Die Hanf-Küche: Der komplette Guide für kreatives Kochen
15.04.2026 — Mara König
Cannabis-Szene & Hanfkultur 2026: Zwischen Rekord-Messen und lebendigem Anbau
11.04.2026 — Leo Hartmann